Ссылки для упрощенного доступа
Вернуться к основному содержанию
Вернутся к главной навигации
Вернутся к поиску
новости
Война России в Украине
нас заблокировали
башкортостан
марий эл
самара
татарстан
чувашия
Карты
ещё регионы
Астрахань
Киров
Мордовия
Нижний Новгород
Оренбург
Пенза
Пермь
Саратов
Удмуртия
Ульяновск
другие
мнения
АЗАТЛЫК РАДИОСЫ
Присоединяйтесь!
Все сайты РСЕ/РС
Искать
Aзатлык радиосы
Искать
Предыдущий
Следующий
Новость часа
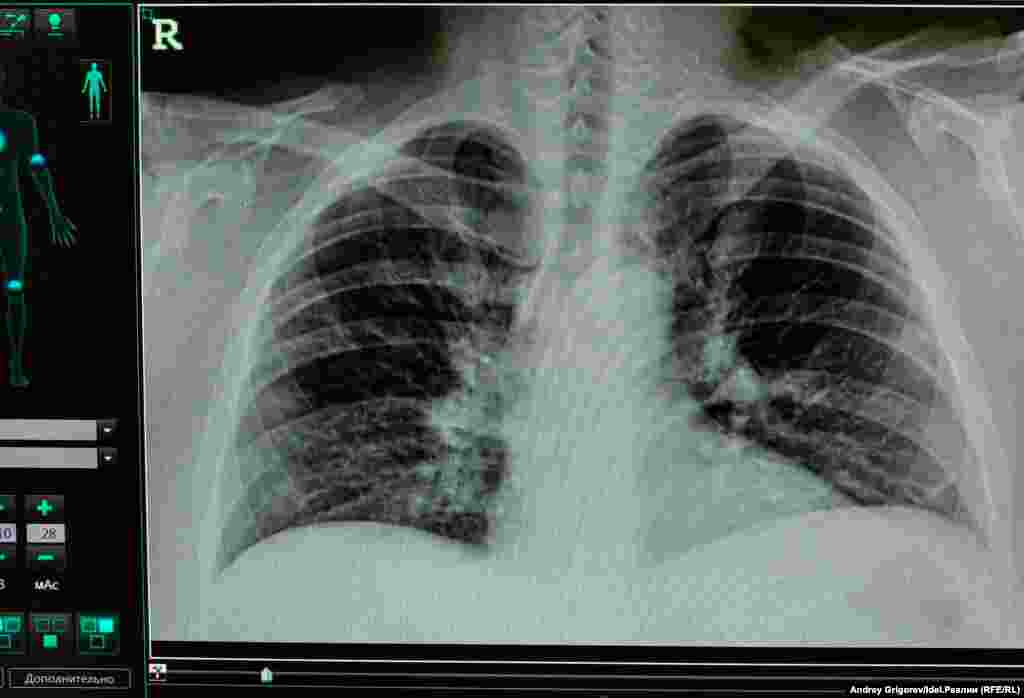
Временный ковидный госпиталь при РКБ
Июнь 30, 2021
Временный ковидный госпиталь при РКБ является резервным и занимает здание отделения травматологии. Корреспондент Idel.Реалии находился в нем с 4 по 17 июля.
5
6
7
8
Загрузить еще
Временный ковидный госпиталь при РКБ
Поделиться
Поделиться
XS
SM
MD
LG